18 röntgenkép, amely többet elárul a testedről, mint az anatómiai tankönyvek
Az emberi test tökéletes mechanizmus. Amíg dolgozol, alszol és sportolsz, a tested vért szivattyúz és az agy fáradhatatlanul dolgozik. Nem láthatnánk ezeket a folyamatokat Wilhelm Röntgen feltalálása nélkül: 120 évvel ezelőtt felfedezte a sugarakat, amelyek szó szerint lehetővé teszik számunkra, hogy az embereken keresztül lássunk. És ma megismerheted a titkokat, amiket a tested elrejt.
Ezen a képen látható, hogyan is néz ki valójában egy kómában fekvő beteg és egy egészséges ember agya.
Vicces panorámaröntgen egy férfiról, aki véletlenül elfelejtette levenni a szemüvegét. Olyan, mint egy mesefigura.
Egy 16 hónapos kisfiú véletlenül lenyelte a Spongyabob medálját, ami ezen a röntgenfelvételen tökéletesen kivehető.
Egy speciális MRI gép, melynek neve traktográfia, megmutatja az agyban lévő idegvégződéseket, amik kapcsolatban vannak egymással.
A bejegyzés megtekintése az Instagramon
Egy férfi röntgenképe, akinél jól látszik, hogy szívéhez pacemakert ültettek, hogy tudja szabályozni a szívritmusát.
Egy édesanya és egy kisgyermek MRI felvétele. A kisgyermek annyira félt, hogy nem mert egyedül befeküdni a gépbe és az orvosok megengedték, hogy az anyukája bemenjen vele.
Egy nő, aki a CT vizsgálat előtt túl sok sminket rakott fel és a gép képet tudott csinálni szempilláiról.
Ez egy olyan páciens röntgenképe, akinél jól látszik, hogy korábban aranyszálas arcfeszesítésen vett részt.
Egy férfi CT képe, akiről kiderült, hogy tiltott anyagokat akart átszállítani egyik országból a másikba.
Egy spektrális szkennerrel készített kép, egy ember bokájáról. Így sokkal átláthatóbb a kép, mintha fekete-fehérben lenne.
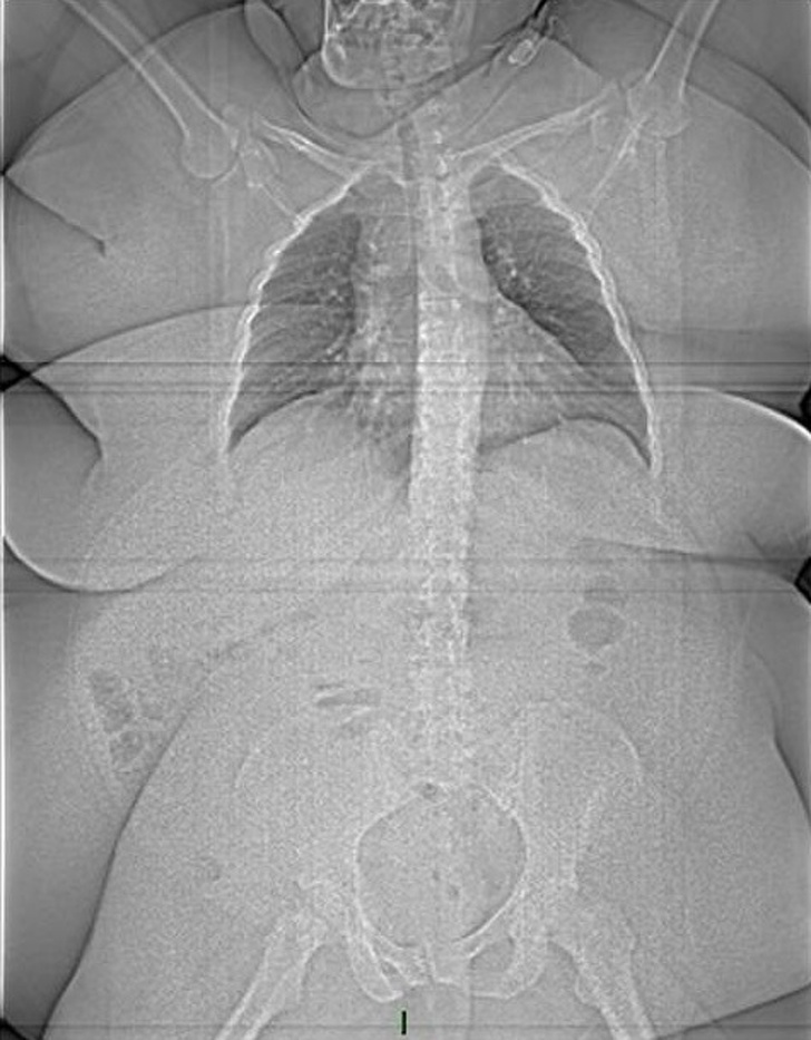
Egy 185 kilós felnőtt ember röntgenfelvétele. Jól látható, hogy a testét beborító zsírszövet kitakarja a csontokat.
Michael Volle operaénekes éppen Richard Wagner zeneszerző egyik szerzeményét énekelte. Nézzétek mi megy végbe a torkában. Döbbenet.
Egy ember, akinek MRI felvételén jól látható, hogy a túlzott szeszes ital fogyasztás következtében a nagyagy és a kisagy mérete csökken.
Egy gyermek megfordult az anyaméhben
A bejegyzés megtekintése az Instagramon
Az ujjhegyeken található véredények miatt vérzik annyira az ujjunk, mikor megvágjuk őket.
Bizonyára hallottál már az aortáról, testünk legnagyobb verőeréről, de soha nem tudtad, hogy is néz ki valójában. Nos, itt a elehetőség, hogy megtekintsd.
A felső képen egy 7 éves kisgyerek röntgenképe látható, amin jól látszik, hol vannak még tejfogak. Az alsó kép pedig egy 30 éves felnőtt ember állkapcsa, akinek már inden foga csontfog.
Néha a szakemberekre rájön az 5 perc és vicces felvételeket készítenek. Ez például a Csillagok háborúja egy rohamosztagos röntgenképe.
Ilyen lenne Tony Stark, vagyis a Vasember röntgenképe, ha valaha elvégeznék rajta a vizsgálatot.















